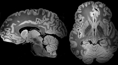
نسبة الحديد بالدماغ تتنبأ بالخرف لدى مرضى باركنسون توصل باحثون إلى طريقة أكثر فاعلية للتنبؤ باحتمال الإصابة بالخرف لدى مرضى الشلل الرعّاش (باركنسون) قب...
الأمير هاري في بريطانيا لإنجاز آخر مهماته الملكية عاد الأمير هاري من كندا إلى المملكة المتحدة ليبدأ الأربعاء سلسلة من الالتزامات الرسمية قبل الانطلاق...
صحيفة: الحوثي حول المستشفيات إلى ثكنات عسكرية في اليمن تناولت صحيفة "عكاظ" السعودية، الجرائم التي ترتكبها مليشيا الحوثي بحق المدنيين في محافظة الجوف خلال ا...
وفد محلي وعسكري رفيع يزور طالب تعرض لاعتداء في روسيا قام الاخوة الكرام الدكتور مازن مهدي عيدروس الجفري وكيل وزارة التعليم العالي والبحث العلمي لشؤون البع...
وداعاً..أبا صفا كنت واحداً. من أشد المعجبين والمحبين لشخصية الفقيد الأستاذ /سليم أحمد باعساس المغفور له بإذن الله تع...
علاجات السكري والسمنة تختلف باختلاف حالات المرضى اختتمت، في مدينة جدة السعودية جلسات مؤتمر «الشرق الأوسط - 20 للسكري والسمنة» الذي نظمته...
البحرين: خروج 12 حالة من الحجر الصحي الاحترازي أعلنت وزارة الصحة البحرينية خروج 12 حالة من الحجر الصحي الاحترازي بعد استكمالهم فترة الحجر اللازمة ل...
كيف يحمى كبار السن أنفسهم من خطر كورونا؟ بعدما كشفت منظمة الصحة العالمية أن أكثر الفئات عرضة لفيروس كورونا هم كبار السن، وأن المرض يكون أكثر...
امكانية شفاء بعض حالات العمى بالتعديل الوراثي استخدم علماء أميركيون تقنية "كريسبر" لتعديل مورثات مريض وعلاجه من عمر ليبر الولادي، في تجربة رائدة،...
مليار هاتف وتابلت أندرويد معرض للاختراق حذرت دراسة حديثة أن أكثر من مليار هاتف وتابلت أندرويد في جميع أنحاء العالم معرض لاختراق، لأنها لم تع...