اجتماع الهيئة التعليمية مع قيادة مستشفى الصداقة التعليمي العام جرى اجتماع في مستشفى الصداقة التعليمي العام لمناقشة مجمل المواضيع المتعلقة بطلاب الدراسات العليا بور...
وزير النقل يعزي بوفاة المناضل الثائر العميد ناصر الطويل بعث معالي وزير النقل الدكتور عبدالسلام صالح حُميد ، اليوم ، ببرقية عزاء ومواساة الى كل من الاخ ...
عدن: مناقشة أوجه التعاون بين مكتب التنسيق ومنظمة DRC استقبل الأخ العميد الركن فضل محمد عبيد غرامه مدير مكتب تنسيق الأعمال المتعلقة بالألغام {YMACC} السيد...
مجلس جامعة شبوة يقر افتتاح كلية الطب والعلوم الصحية في الجامعة صادق مجلس جامعة شبوة الإثنين 6 سبتمبر 2021م برئاسة الدكتور/ توفيق سريع باسردة رئيس ال...
"ماعت" تصدر تقرير "القيود المفروضة على الانترنت والحقوق بتركيا" أصدرت مؤسسة ماعت للسلام والتنمية وحقوق الإنسان تقرير جديد بعنوان "السلطوية الرقمية.....
تنفيذ القصاص بحق أربعة مدانين بقتل الشاب الأغبري في اليمن أعدِم أربعة مدانين بقتل الشاب عبدالله الأغبري، في قضية أثارت الرأي العام اليمني، رميًا بالرصاص في...
"بن حبريش" يناقش تطوير مركز غسيل الكلى في مستشفى الشحر العام ناقش وكيل أول محافظة حضرموت الشيخ عمرو بن حبريش العليي في لقائه بمسئولي مركز غسيل الكلي بمستشفى الشح...
تدشين المخيم الطبي المجاني لإزالة المياه البيضاء بمحافظة المهرة دشن يوم الأحد في مستشفى الغيظة بمحافظة المهرة المخيم الطبي المجاني لإزالة المياه البيضاء وزراعة العد...
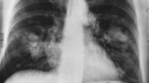
تقرير: سرطان الرئة.. 10 علامات رئيسية يجب ألا يتم تجاهلها يعتبر سرطان الرئة أحد أكثر أنواع السرطانات شيوعاً في العالم، حيث بلغ عدد المصابين به حول العالم العا...
(4k) تدشن دورة "بناء القدرات وتعزيز حقوق ذوي الاحتياجات الخاصة" بحضور الدكتور عبد الباقي علي الحوثري مدير عام مكتب وزارة التعليم الفني والتدريب المهني بساحل حضرموت،...