وفاة يمني في سجون ميليشيا الحوثي الإيرانية بصنعاء اليمنية دان مكتب حقوق الإنسان اليمني بأمانة العاصمة قيام ميليشيا الحوثي الإيرانية بتعذيب مواطن حتى الموت بعد...
صحافيو الجزائر يخوضون معركة مصيرية مع السلطة تفاءل الصحافيون الجزائريون قبل أشهر ببدء الانفراج وتخفيف الضغوط والقيود المفروضة عليهم، ليتضح بعد فت...
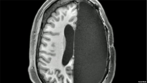
دراسات جديدة: اكتشاف مذهل.. ماذا يحدث بعد إزالة نصف الدماغ؟ أظهرت مسوحات جديدة أن أدمغة البشر التي تم استئصال نصفها خلال مرحلة الطفولة، تستطيع مواصلة نشاطها ب...
المحافظ البحسني يوجه بتأهيل الحديقة العامة بغيل باوزير قام محافظ حضرموت قائد المنطقة العسكرية الثانية اللواء الركن فرج سالمين البحسني، بزيارة للحديقة العام...
البحسني يتفقد ميناء الشحر ويوجه باستئناف نشاطه الشهر القادم قام محافظ حضرموت قائد المنطقة العسكرية الثانية اللواء الركن فرج سالمين البحسني، بزيارة لميناء الشحر...
اسباب نزيف الانف نزيف الأنف أو الرعاف من الأشياء التى قد تشعرك بالانزعاج والقلق، وعلى الرغم من ذلك فإن معظم نزيف...
أشعة الشمس تسبب سرطان الجلد أظهر باحثون أستراليون من معهد “QIMR” بيرجوفر للأبحاث الطبية أن 22 جينًا مختلفً...
مجزرة ضد مخيم للنازحين في إدلب نفذها النظام لم يتخيل نازحون لجأوا منذ سنوات إلى مخيم قرب الحدود التركية أن صاروخاً سيلاحقهم إلى عقر خيمهم التي ظ...
العفو الدولية تندد بـ "مناخ قمع" يميز الحملة الانتخابية في الجزائر عبرت منظمة العفو الدولية الخميس عن قلقها ازاء ما قالت انه "مناخ قمع وتضييق على حريات التعبير" ميز ان...
العفو الدولية تطالب مصر بوقف تعذيب ابنة قيادي اخواني طالبت منظمة العفو الدولية في بيان الخميس السلطات المصرية بأن "تضع حدا فوريا لتعذيب المعتقلة المريضة...