مسوحات جديدة..
دراسات جديدة: اكتشاف مذهل.. ماذا يحدث بعد إزالة نصف الدماغ؟
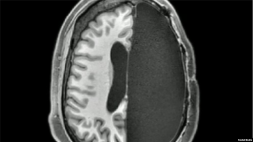
أظهرت مسوحات جديدة أن أدمغة البشر التي تم استئصال نصفها خلال مرحلة الطفولة، تستطيع مواصلة نشاطها.
أظهرت مسوحات جديدة أن أدمغة البشر التي تم استئصال نصفها خلال مرحلة الطفولة، تستطيع مواصلة نشاطها بشكل مذهل.
ومن المعروف أن عمليات استئصال الدماغ طورت في عشرينيات القرن الماضي، لعلاج أورام المخ الخبيثة، لكن نجاحها في الأطفال الذين يعانون من تشوهات في الدماغ أو نوبات عصبية أو أمراض يقتصر ضررها على نصف الدماغ مثل الصرع، أذهل حتى العلماء المتمرسين.
كيف يعيد الدماغ تنظيم نفسه؟!
فبعد العملية، يستطيع العديد من الأطفال المشي والتحدث والقراءة والقيام بالمهام اليومية. ونحو 20 في المئة منهم يستطيعون الحصول لاحقا على فرص عمل مربحة كبالغين.
وتشير أبحاث جديدة نشرت الثلاثاء في مجلة Cell Reports إلى أن تعافي بعض الأفراد بشكل جيد من الجراحة، يعود إلى قدرة النصف المتبقي من الدماغ، على إعادة تنظيم عمله.
وحدد العلماء مجموعة متنوعة من الشبكات التي تقوم بتعويض وظائف الأنسجة التي تمت إزالتها، حيث تقوم بعض الخلايا المتخصصة بعمل الخلايا العادية.
تقول دوريت كليمان عالمة الأعصاب الإدراكية في معهد كاليفورنيا للتكنولوجيا، والمؤلفة الأولى للدراسة إن "الدماغ بلاستيكي بشكل ملحوظ، وبمقدوره تعويض الفقد الكبير في بنيته، وفي بعض الحالات يمكن للشبكات الباقية أن تدعم الإدراك النموذجي تقريبا".
وتستخدم معظم شبكات الدماغ كلا من جانبي القشرة الدماغية لأداء وظائفها.
خاصية التعرف على الوجوه، مثلا، تحتاج إلى جانبي القشرة الدماغية. بينما تتم معالجة المهارات الأخرى، مثل القدرة على تحريك الأطراف، على الجانب المعاكس من الدماغ.
بمعنى، يتحكم الجانب الأيمن من الدماغ في حركة الجانب الأيسر من الجسم، بينما يتحكم الجانب الأيسر من الدماغ في الجانب الأيمن من الجسم.
تعزيز التواصل
وفي حالة الخضوع لعمليات استئصال لنصف الدماغ، وجد الباحثون أن الروابط الدماغية، ظلت كما هي، لكن المناطق المختلفة المسؤولة عن معالجة المعلومات الحسية والرؤية والانتباه والإشارات الاجتماعية، عززت تواصلها مع بعضها البعض بشكل أكبر، مقارنة بأدمغة الناس العادية.
لكن العملية قد لا تخلو من مضاعفات ومخاطر مثل حدوث ضعف ملحوظ في الحواس البصرية، والأيدي والأذرع، في الجانب المقابل من العملية.
ويأمل الباحثون في مزيد من الدراسات لفهم كيفية تطور الدماغ وتنظيمه، مع استغلال المعلومات المستقاة لمساعدة مجموعة أكبر من الأفراد المصابين بأمراض دماغية.
وحتى وقت قريب ظل الإجماع العلمي على أن استئصال نصف الدماغ، يفضل ان يتم في سن مبكرة، قبل أن يبلغ الطفل سن الرابعة او الخامسة. فبهذه الطريقة يمكن للمرضى استعادة الوظيفة الطبيعية للدماغ مع تقدم السن.
لكن الدراسة الجديدة تشير إلى أنه لا ينبغي وقف الجراحة بعد تلك السن، إذ إن الأفراد الذين شملوا في الدراسة تراوحت أعمارهم بين ثلاثة أشهر إلى 11 عاما.



